肩峰下撞击综合征的康复治疗(SAIS)
肩峰下撞击综合征(SAIS):是指由于各种原因导致的肩峰下间隙减小,肩峰下间隙内的组织在肩峰与喙肩弓之间反复摩擦、撞击引起软组织结构炎症和损伤等病理改变,包括肩袖肌腱病变、肩袖部分撕裂或全部撕裂、肩峰下滑囊炎以及钙化性肌腱炎等病症,导致的肩部疼痛综合征,是造成肩部疼痛最常见的原因之一,占肩痛患者的44%~65%。
肩峰下间隙:由连接肩峰和喙突的喙肩韧带以及肱骨头勾勒出来。间隙内包含冈上肌腱,冈下肌腱,二头肌腱长头肌腱,喙肱韧带及肩峰下滑囊等结构。
肩关节的运动并非只是单独的盂肱关节活动,只有在肩袖肌群和肩胛肌群的协调收缩、肩关节复合体节律性地运动的前提下,肩关节才能正常运动。
胸锁关节上抬、锁骨后旋、肩胛骨上回旋、后倾和外旋的复合运动,使肩峰保持高位,保持肩肱距离并减少肩峰下空间内结构碰撞的可能性。
与结构变化相关,例如骨性狭窄或骨赘形成、骨折后骨错位、肩峰下软组织体积增加、肩胛骨肩峰的形状,这些变化都会机械地缩小肩峰下空间。
肩峰类型:Bigliani等将肩峰分为平直型、弯曲型和钩型,研究表明钩型类其肩峰下间隙更窄,肩峰更容易与肩袖及肩峰下滑囊产生夹挤。
临界肩角(CSA):从关节盂平面和肩峰外侧缘之间的关节盂下极测量的角度,较大的CSA是肩袖病变的危险因素,如果CSA 超过35°,则发生撞击发生肩袖撕裂的风险更高。
肩肱指数(Al):这是从关节盂表面到肩峰外侧端的距离GA和从关节盂表面到肱骨头外端的距离GH的商:根据定义,AI= GA/GH,高AI提示肩峰明显外侧延伸,这与肩袖撕裂风险增加显著相关。
肩肱距离(AHD):测量从肩峰下缘到肱骨头的距离;男性通常约为10mm(7-14 mm),女性为9.5mm(7-12mm),异常低的AHD表明存在肩袖撕裂风险。
与生物力学异常有关,盂肱关节运动异常:肩袖肌力下降、肌肉收缩不协调、肩关节后关节囊韧带紧张使肱骨头在关节盂上的位置改变,容易使肱骨上移产生撞击。肩胛骨运动异常:肩胛骨肌肉失衡、稳定性下降,如前锯肌、斜方肌收缩无力造成肩胛上旋动力不足,胸小肌紧张造成肩胛骨前倾,使肩胛骨上回旋受限、过度前倾及内旋增加,肩关节在做各种过头运动时更容易出现活动受限和撞击。
根据 Neer 的说法,肩峰下撞击综合征的撞击过程可以分为三个不同阶段。
主诉通常是数周到数月内隐匿性出现肩关节疼痛,许多患者有肩部过度活动的病史,部分患者有肩部外伤史,疼痛常位于肩峰的前部和外侧,并常放射到上臂中部外侧,夜间更甚,患侧侧躺以及上举过头疼痛加剧。
Hawkins-Kennedy征:患者取坐位,使患肩前屈90度后再内旋,这时,肱骨大结节进入喙肩韧带下方,若出现疼痛则为阳性,说明存在肩峰下撞击。
Neer撞击征和撞击试验:患者取坐位,检查者一手固定患者肩胛骨,另一手使患者上肢前屈,这时,肱骨大结节进入肩峰下间隙,若出现疼痛则为阳性。但该检查无法区分疼痛源于肩峰下间隙或关节内,可行Neer撞击试验,即肩峰下间隙注射10ml 1%利多卡因,此时再前屈肩关节,若疼痛消失或减轻,说明疼痛源于肩峰下间隙。
Jobe冈上肌试验:患者上肢外展90°,水平内收30°,前臂旋前,检查者于患者前臂远端施加向下的力并令患者尝试进行对抗。若患者出现疼痛或明显无力对抗,则实验阳性,提示可能存在冈上肌损伤。
疼痛弧:患者肘伸直,主动将上肢从外展0°位缓慢上举。若患者于60-120°出现疼痛,超过120°疼痛解或消失,则试验阳性,提示可能存在肩峰下撞击综合征。
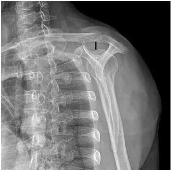
X线检查:X线可清晰显示骨骼结构、钙化及骨赘等,主要包括肩关节前后正位及冈上肌出口位,可观察临界肩角(CSA)、肩肱指数(AI)、肩峰形态、肩峰肱骨头间距(ADH )等。
该肩关节冈上肌出口位X线片 显 示 为Ⅲ型肩峰 (A-H 间距为 9 mm,提示肩峰下间隙狭窄)
该斜矢状位 MRI 显示冈上肌肌腱部分撕裂;斜冠状位 MRI显示肩峰下滑囊炎改变并积液。
建议在急性期保护受影响的肩关节,避免过头动作、快速运动和关节的沉重机械负荷,减小引起疼痛的动作,避免反复刺激。
胸小肌拉伸:将前臂和手抬高抵在门框或墙上,肩关节外展130度左右,靠近门框一侧腿在前,脊柱保持稳定,身体向前倾直,感受胸小肌的拉伸。
肩关节囊后侧拉伸:站立位或坐位,腰背挺直,头颈中立。将一侧手臂横放在胸口,肩保持下沉,另一侧手固定被拉伸手,将手臂拉向胸口,直到肩部后侧有略微牵拉感觉即可。
抗阻肩外旋:肘关节屈曲90度,掌心朝上,手握弹力带,对抗阻力完成向外侧打开动作,然后缓慢回到起始位置,感受肩关节后侧发力感。
抗阻肩外展:脚站在弹力带上,患手握住弹力带,肩水平内收30°,保持肘部伸直,将弹力带提升至 90 度至肩部水平,在顶部保持 1-2 秒,然后慢慢降低到起始位置。
前锯肌激活及肩胛骨稳定性训练:双上肢前屈90°,手拉弹力带,肩胛骨往后夹,接着肩胛骨前伸,双手拉弹力带向前远离身体,并保持5-10秒,感受肩胛骨的运动及前锯肌的发力感。
体外冲击波、超声波、高能量激光疗法、电疗法等减轻炎症反应,改善血液循环,缓解疼痛,促进组织愈合。
(1)关节腔内注射糖皮质激素疗法 :糖皮质激素经常是注射治疗的首选 ,它能减少炎症介质、影响炎症细胞,具有消炎及镇痛的作用,减轻病变部位的炎症反应。
(2)关节腔内注射富血小板血浆:富血小板血浆含有多种自体生长因子,有促进肌腱细胞增殖、胶原合成和血管重建的作用。已有证据表明,富血小板血浆对于治疗SAIS 有积极效果。
手术治疗包括肩峰下减压术、肩峰成形术、肌肉移位术、肩关节内支架植入术等 ,肩峰下减压术及肩峰成形术适用于无肩袖损伤的SAIS 患者 ;对于伴有不可修复肩袖损伤但无关节炎的年轻患者可选择肌肉移位术;对于患关节炎且伴有不可修补肩袖损伤的老年患者,肩关节内支架植入术是较好的选择。
[4]王涛,刘辉,周理乾,等.MRI、超声及Ⅹ线对肩峰下撞击综合征的诊断价值比较[J].中国骨与关节损伤杂志,2016,31(05):467-469.
[5]蔡丹阳,朱宁,汪宇成,等.肩峰下撞击综合征的不同保守治疗方法[J].中华肩肘外科电子杂志,2020,8(03):278-282.
[6]席蕊.肩峰下撞击综合征的肩胛骨运动学与肩胛肌群功能特征及运动干预研究[D].北京体育大学i.gbjtu.2020.000034.
国际上著名的Mulligan Concept(动态关节松动术)的相关概念以及循证医学的适应症,以期提高关节松动术的临床运用,更好的推广关节松动术和服务患者。
Brian Mulligan的动态关节松动术作为成熟的手法治疗技术深受世界物理治疗行业认可,它结合被动关节松动术的优势与自主活动的优点, 在不会产生疼痛情况下使关节在短短几次的手法治疗下恢复自然流畅的活动性(手法对症前提)。
遵循循证医学,从临床到科研结果所知,动态关节松动术是大部分肌骨疼痛及骨伤科病患的对应手法
Mulligan动态关节松动术创始人、国际手法治疗大师、新西兰物理治疗协会荣誉院士。
其创始人布雷恩•姆利根(Brian Mulligan)于1954年毕业于新西兰的物理治疗学校。直到2000年才从临床退休。在他40多年的临床生涯当中创立并不断完善自己独创的“动态关节松动术”。
2017年,85岁高龄的Brian Mulligan不远万里飞至北京,现场为近20位患者进行手法治疗。李宏图教授担任现场翻译及助教。
“在整个肌肉骨骼医学治疗领域里,没有任何其他手法治疗的方法像动态关节松动术一样可以展现出立杆见影的止痛效果。只需2分钟或更少的时间来确认这个手法治疗的适应症,再选用适合的动态关节松动术来治疗,而患者中75%的人被证实会有非常显著的疗效。”——Brian Mulligan
临床医生、康复医师、康复治疗师、康复专业教师及物理治疗师,等从业人员及康复专业相关学生,有一定解剖基础的私教。
特别声明:以上内容(如有图片或视频亦包括在内)为自媒体平台“网易号”用户上传并发布,本平台仅提供信息存储服务。
程序员周末猝死事件最新进展:涉事公司HR离职 曾因“不希望家属拿家人生命换钱”言论引争议
“莫名让我优惠50年”,商户称外卖平台“商战”成本转嫁实体店;专家分析补贴背后
差200元!红米Turbo 5与Max该怎么选?这4点核心差异看完不纠结!
华为nova 16系列再次被确认:麒麟8030+星闪2.0,起售价或有惊喜

